Inez

Inez

No items found.

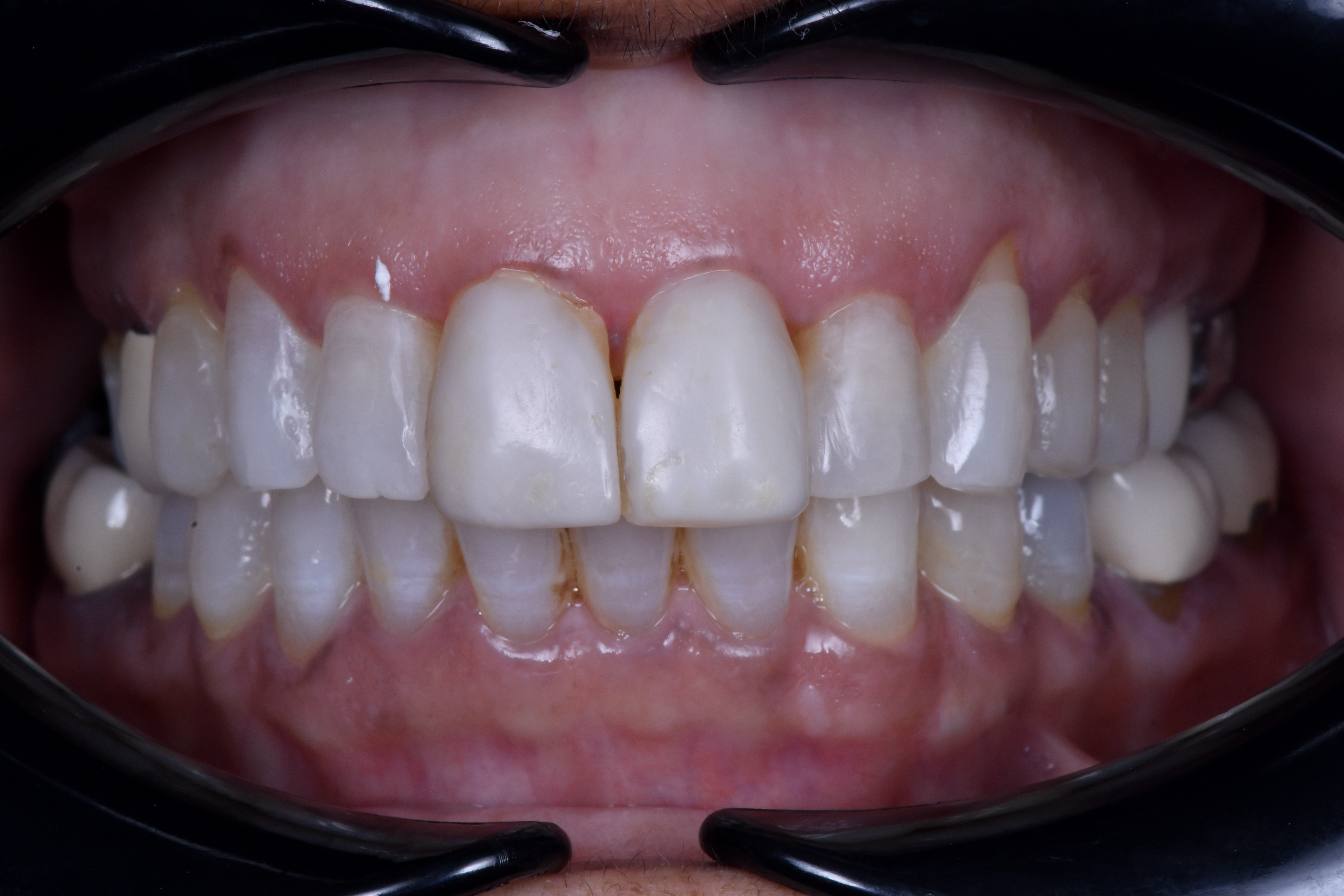
Porcelain Crowns - Upper Teeth

connect with us

We look forward to meeting you. Call (410) 377-2000 or request an appointment online to set up your first visit. We’ll be in touch soon.