.png)

by Dr. Jesse Ritter
Which sounds more appealing to you?
Total health, of course.
Why would anyone seek out partial health in any aspect of their life IF they could have total health?
For decades now, dentistry has had the ability for people to achieve incredible levels of dental health. The advent of modern bonding techniques, improvements in restoration materials (porcelains, resin composites, etc.), advancements in biologics (for bone grafting, implants, etc.) as well as advancements in surgical and restorative techniques has ushered in a time when people can achieve TOTAL dental health.
So then, why do so few people actually have it?
While there are MANY factors that go into why so many have partial dental health and not total dental health, I'm going to focus on one today. DENTAL INSURANCE.
One huge influence on the both the mindsets of patients and providers alike has been dental insurance.
Dental insurance has created this idea of "a little bit at a time" dentistry. Dentists have adopted it. Patients have adopted it.
Dental insurance companies make profits when their customers DON'T get healthy. The less dental treatment their customers get, the more money they make.
Why then do I hear the question "what will my dental insurance cover?" every day, multiple times per day?
Because people THINK that's the right question to ask. Why?
The word insurance comes has origins in the word ensurance which means "a guarantee". With virtually every other insurance that we have in our life (medical, homeowners, vehicle, etc.) we are ACTUALLY insured. When we file a claim OUR OUT OF POCKET EXPENSE IS LIMITED. We know our costs (deductible/copay) as it relates to a claim and then everything else is covered.
We just need to know what that "everything else" is. That's why we think that "what will my dental insurance cover?" is the right question to ask.
With dental "insurance", however, it is the exact opposite!
Dental insurance companies have devised an ingenious system where they get to call what the offer "insurance" when in fact it is a COUPON. The've tricked us all by limiting their own costs as it relates to a claim and leaving your costs unlimited. Genius!
So when you have issues or concerns with your dental health and are offered TOTAL DENTAL HEALTH, your dental insurance ain't gonna get you there. It was never meant to.
If you operate within the framework of "what will my dental insurance cover?", you will never be able to achieve total dental health UNLESS you already have it and only need to maintain it.
That's why I believe a total dental health solution based on your personal goals and desires is where all planning should start. Whether you can you achieve that plan now, over a period of years or in the future doesn't really matter. What's important is that you have a plan in place for achieving total dental health.
More to come on this topic next week...
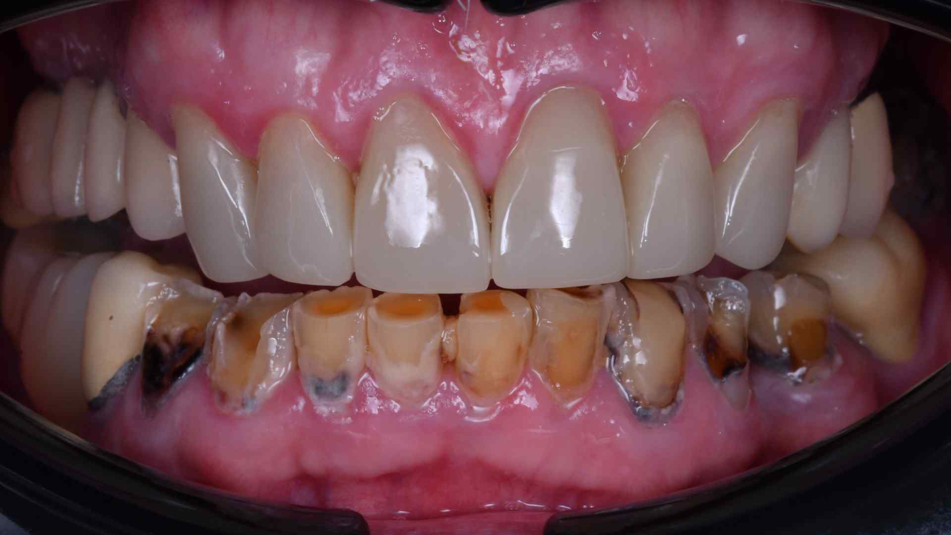
While you wait on the edge of your seat for next week's newsletter (not! haha), take a gander at the photo below. If these were your teeth and you only pursued treatment your dental insurance "covered"...
Until next week...



Our new dental assistant Rachel joined the team a few weeks ago! Rachel grew up in the Towson area where she still resides. Her super pleasant demeanor and desire to learn and grow fit well with our team and will improve our service to our patients. It's great to have you on board Rachel!

The equipment has arrived and jumbo trons are mounted. We're about one week away from being 100% complete. We're looking forward to helping patients in this new state-of-the-art space.